January 23, 2026
1 min read

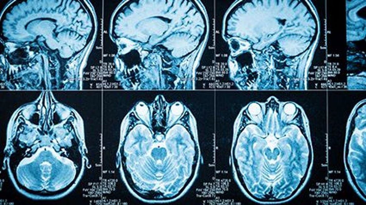
Different Types of Brain Tumors: What They Are, How They Present and What To Expect MedNews

FRIDAY, Jan. 23, 2026 Brain tumors are abnormal growths of cells in or around the brain. They can be primary (originating in the brain) or secondary (metastatic

Leave a Reply

Your email address will not be published.

Previous Story

New state committee begins work to develop nutrition guidelines, education requirements for Texans

Next Story

Planned Parenthood CEO won’t negotiate with ‘bullies’

Previous Story

New state committee begins work to develop nutrition guidelines, education requirements for Texans

Next Story

Planned Parenthood CEO won’t negotiate with ‘bullies’

Latest from Blog

Go toTop